ESTUDO DE CASO
TC (Tomografia Computadorizada)

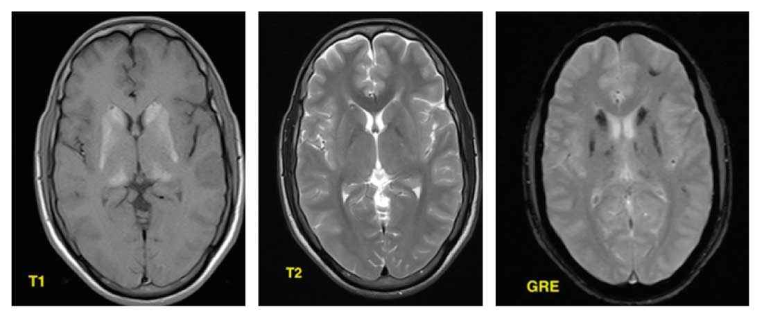
Envolvimento simétrico do globo pálido, núcleo caudado, núcleo lentiforme, tálamo e substância branca.
RM (Ressonância Magnética)

- T1 = áreas calcificadas tem hiperssinal (contrário das expectativas), atribuído ao efeito diamagnético do cálcio, das superfícies de seus cristais.
- T2 = baixo a isosinal, dependendo da diferença de composição dos depósitos de cálcio, como zinco, manganês, ferro ou magnésio.
- Altos sinais podem ser encontrados nos núcleos da base, substância branca e cápsula interna se não tiver calcificação, podendo corresponder ao lento processo inflamatório ou metabólico.
- T2* / SWI = marcado hiposinal.
- SWI é a sequência de maior sensibilidade para calcificações / produtos de degradação do sangue e ferro.
???
Take Home Message

- Os núcleos da base podem ser afetados por diversas doenças.
- As calcificações simétricas são em sua maioria assintomáticas e comuns em idosos.
- A calcificação deve ser valorizada se houver alteração clínica e laboratorial.
- A principal sequência na RM é a SWI.
- Estes achados sugerem a doença de FAHR.
Dra. Giovanna Martins
CRM-GO 41.536